Receding Gum Treatment Seoul
Expert Periodontal Care
at Yonsei Heal Dental Clinic Seoul
If your gums are red, swollen, or bleeding, especially if you're dealing with persistent bad breath. Get the professional gum disease treatment you deserve.
- Fresh, clean breath that lasts all day
- Pink, healthy gums that don't bleed
- Confidence to speak, laugh, and smile freely
- Prevention of tooth loss and serious complications
- Advanced treatments that are comfortable and effective
Let’s Create Your Perfect Smile
Start Your Smile Journey Today
Gum Disease Treatment
Receding gums occur when the gum tissue surrounding your teeth gradually pulls back, exposing the tooth root. This condition not only causes tooth sensitivity but can also increase the risk of cavities, infection, and eventually tooth loss if left untreated.
Common causes include:
- Periodontal disease (gum disease)
- Aggressive tooth brushing
- Genetics and thin gum tissue
- Teeth grinding (bruxism)
- Poor oral hygiene
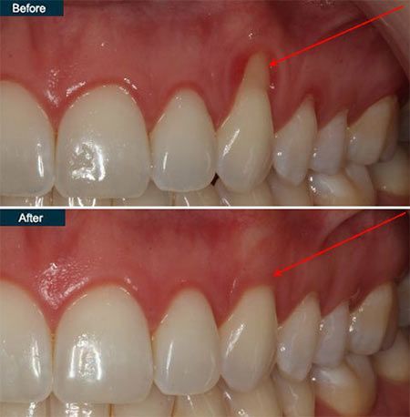
Gum Recession Treatment Options
- Restored natural gumline that frames your teeth properly
- Complete elimination of temperature sensitivity
- Confidence to smile freely in any situation
- Prevention of further recession and complications
- Protection of tooth roots for long-term health
- Freedom to enjoy all your favorite foods and drinks
Cost Advantage
- Receding gum treatment in Korea is 40–70% more affordable than in the US, UK, or Australia, even when using advanced materials and techniques.
- Deep cleaning & desensitizing therapy: $100 – $300 USD
- Laser treatment for mild recession: $300 – $700 USD
- Gum grafting (per site): $300 – $600 USD
- Full treatment plans (moderate to severe): $1,000 – $2,500 USD
My Teeth Look Normal Again
Real Seoul Patients, Real Success Stories
"I was so embarrassed about how long my front teeth looked. After the gum treatment, my gumline is even again and my teeth look the right size. The sensitivity is completely gone too. I can finally smile in photos without feeling self-conscious."
- Jennifer
You-First
Approach
Getting an implant is an important decision. We’ll educate you on this procedure and empower you to take control of your oral health.
Affordable
Care
We believe that everyone deserves high-quality care. We offer easy payment options to make getting an implant affordable.
Comfortable Experience
Feeling nervous? We offer years of experience, sedation options, and attentive care to ensure your comfort.
What Is a Receding Gum Lift?
A receding gum lift is sometimes called gum contouring surgery or gum reshaping. This procedure is used to restore a person’s gumline to normal coverage of the tooth for both medical and cosmetic reasons.
Who would need a receding gum lift?
Anyone who has lost normal, proper gumline coverage of one or several teeth should consult with a dental professional about a receding gum lift. Receding gums can expose the root of a tooth, leading to damage and even possible loss. Receding gums are also commonly a symptom of periodontal disease and should be examined by a qualified dental health care provider to rule out other oral health concerns.
Though the primary reason for getting a gum lift procedure is to protect and maintain the proper function of the teeth, a gum lift also provides cosmetic benefits. Receding gums can give a person a prematurely aged or older appearance.
When is receding gum lift surgery necessary?
A gum lift procedure is needed if a patient has experienced significant gum recession from one or more teeth. This is to protect the health and proper function of the tooth and guard against further gum recession. Sometimes, gum grafts are necessary to restore the proper coverage of the teeth by the gumline.
What should someone expect from a receding gum lift?
This procedure would be performed in the fully-equipped office of a dentist or oral surgeon. Local anesthetic would be applied to numb the area to be treated. A variety of tools might be used depending on the technique involved in the gum lift surgery, and sometimes a small section of the tooth root must be ground down for the restored gumline to be able to adhere to it adequately.
Recovering from receding gum lift surgery
After a gum lift procedure, the patient should rest as much as possible and limit their activities. A patient’s mouth will be healing for weeks after surgery, and any activity that could adversely affect the lifted gum tissue or slow down the healing process should be avoided.
Pain or discomfort can be treated by over-the-counter NSAID analgesics like acetaminophen or ibuprofen. Aspirin should be avoided, as it thins the blood.
During the three to five days following surgery, patients should avoid foods high in acid content or heavily seasoned foods, as these could irritate and inflame the healing gumline and slow the healing process.
Patients should also follow restricted diets during this period. Only soft foods that can easily be chewed and swallowed without placing pressure or strain on any treated teeth should be eaten until the gums have healed completely.
Lead Specialist
Dr. Jung
Graduated from Yonsei University College of Dentistry and completed advanced implant training at Seoul National University Hospital. With over 15 years focusing exclusively on complex implant cases, Dr. Jung has successfully restored smiles for thousands of Seoul residents.
"Every patient deserves to eat comfortably and smile confidently. Our goal isn't just to place implants - it's to give you back your quality of life."
Supporting Specialists
Our team includes periodontists, oral surgeons, and laboratory technicians working together to ensure your treatment succeeds. We maintain continuing education relationships with Seoul's top dental institutions to bring you the latest techniques.

You-First
Approach
Getting an implant is an important decision. We’ll educate you on this procedure and empower you to take control of your oral health.
Affordable
Care
We believe that everyone deserves high-quality care. We offer easy payment options to make getting an implant affordable.
Comfortable Experience
Feeling nervous? We offer years of experience, sedation options, and attentive care to ensure your comfort.
Meet Our Director
FAQs
How do I know if I need receding gum treatment?
Common signs include teeth looking longer than before, sharp sensitivity to hot/cold foods, visible exposed roots, and notches near the gumline. A professional examination can determine the severity and recommend appropriate treatment.
Can receding gums grow back naturally?
No, receding gums cannot regenerate on their own. However, professional treatment can stop further recession and restore lost tissue through various techniques including grafting and regenerative therapy.Common signs include: bleeding gums when brushing or flossing, persistent bad breath, red or swollen gums, gums pulling away from teeth, loose teeth, and pain when chewing. Even if you don't have pain, you could still have gum disease.
What treatment options are available for receding gums?
Treatment options range from non-surgical (deep cleaning, laser therapy) to surgical (gum grafting, pinhole technique). Your treatment plan depends on the severity of recession and your specific needs.
Is receding gum treatment painful?
Modern techniques are surprisingly comfortable. Local anesthesia eliminates pain during procedures, and most patients experience only mild discomfort afterward that's easily managed with over-the-counter medication.
How long does it take to see results?
You'll notice immediate improvement in appearance after treatment. Sensitivity relief begins within days and becomes complete as healing progresses over 2-6 weeks depending on the procedure.
Testimonials
"I was so embarrassed about how long my front teeth looked. After the gum treatment, my gumline is even again and my teeth look the right size. The sensitivity is completely gone too. I can finally smile in photos without feeling self-conscious."
Kim Ji-hye
"For two years, I couldn't enjoy cold drinks because of the pain from my exposed roots. The English-speaking team at Yonsei Heal explained all my options clearly. Now I can drink ice water without any discomfort at all."
David Park
"I was terrified about gum treatment, but the laser therapy was completely painless. My gums healed quickly and now they look healthy and natural. I wish I had done this sooner instead of suffering for so long."
Lisa Chen
Procedure
Choose Seoul's most trusted expertise in gum restoration.
Consultation AvailableEnglish-Speaking Specialists40-70% More Affordable Than Western Countries







